高血壓患者牙周病治療推薦:顯微水雷射牙周治療/DSD數位微笑設計
在牙周病諮詢門診當中,患者常有的主訴是『牙齦腫大』、『牙齦容易出血』,而前來找我評估。其實,經過初步的問診,例如是否有全身系統性疾病,有無高血壓的症狀,使用高血壓的藥物有幾年的時間。即使還沒有開始進到口內檢查,依照多年來牙周專科醫師的經驗,大概就心理有數:除了牙周病本身的問題,藥物副作用也需要被考量在內。
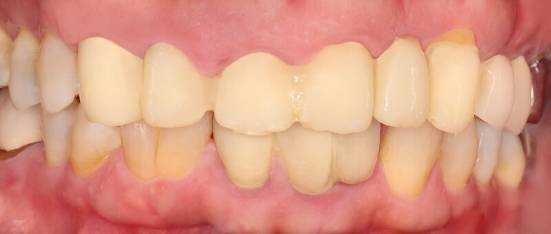
Ms.H 就是典型的這類患者。她其實來找我治療前,已經發現到自己上面前牙的假牙周圍,牙齦有腫大容易出血的情況。而在這之前,也已經曾在一般牙醫接受過『牙周統合照護計畫』,不過似乎沒有什麼明顯的改善,才透過網站找我評估。
牙齦腫大出血不只是牙周病?高血壓藥物的隱形副作用
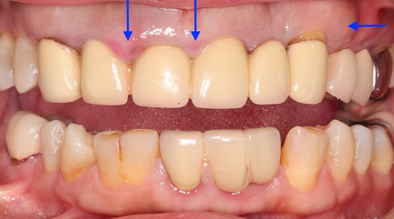
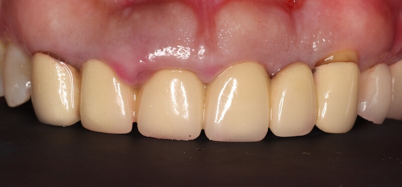
口內的檢查可以看到,在上顎前面六顆假牙,牙齦明顯腫起來。這可能來自兩個原因:
第一個就是 Ms.H 長期服用高血壓藥物控制血壓,最常見的就是『鈣離子通道阻斷劑』(Calcium Channel Blocker, CCB),例如脈優(Norvasc)。牙齦腫大就是此類藥物的副作用之一。
另外一個原因就是假牙邊緣比較深入牙齦深處,侵犯到牙齒的生物寬度,也會產生類似這樣的表徵。

高血壓患者的牙周病治療策略
經過全口初步檢查以及X光片的檢查,我的診斷是全口中度慢性牙周病。治療牙周病過程中我會搭配顯微鏡和水雷射,也就是『顯微水雷射牙周病治療』。不過在牙周治療前,我們也要先把上述的兩個會加重牙周病的問題一併考量,治療才會有效果。

從源頭控制血壓與牙周環境
在高血壓患者的治療策略方面,雖然藥物的副作用是個問題,但一般來說,我並不會要求患者一定要會診內科換藥而影響到高血壓的控制。通常我們還是會例行的把第一階段牙周病治療完成之後,在評估一次整體牙齦消腫的情況。如必要的話,在第二階段利用水雷射去除增生腫大的牙齦直接降低牙周囊袋。
另一個問題是前面六顆已經不密合的假牙,要拆掉才能解決這個會加重牙周病的因素。計畫要把前面的假牙拆除後,先製作一套假牙邊緣比較淺的臨時假牙,初步解決假牙邊緣侵犯牙齒生物寬度的問題。


另一個高血壓患者相關的特別注意的就是實際治療時的血壓,治療前我會再確認一次患者的血壓,如果血壓過高(收縮壓超過160mmHg)時,為了患者的安全,會直接中止治療。通常會是以下兩種情況,也有患者是兩種情況兼具:
- 平時血壓就比較高,建議先由內科醫師評估,治療高血壓(大部分需要藥物控制)
- 居家量測血壓正常,但進入醫療院所時,情緒壓力造成血壓增高的「白袍恐懼症」患者。我們會建議配合麻醉專科醫師的專業,使用藥物或採取舒眠鎮靜的方式完成牙科治療
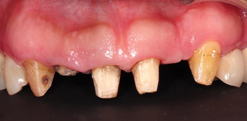
Ms.H 是屬於第一種並且血壓已控制良好的高血壓患者。因此我們會在拆除她的舊假牙之後再開始進行全口牙周治療。拆除假牙後發現右上的側門齒是齒質不足的殘留牙根,因此預計在之後治療牙周病時同時拔除該患齒。


拆除舊假牙:釐清殘留牙根與齒質狀況
拆除舊假牙換上臨時假牙之後,開始進入牙周病的療程。我們會先將治療前口內狀況完整記錄,詳細分析每一顆牙齒的牙周狀況。


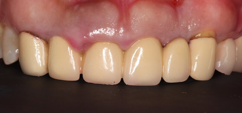
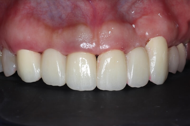
經過第一階段的療程後,我們持續追蹤 Ms.H 刷牙的情況,並且在大約兩個月後追蹤整體復原的進度,我們可以看到牙齦腫大的狀況明顯改善了許多,消腫以後產生了不少縫隙:


牙周病整合治療與DSD數位微笑設計的結合
在這個相對健康的牙周環境狀態下,我們利用DSD數位微笑設計,全數位化的口內掃描並製作出第二組臨時假牙,透過這組假牙置放在口內和她討論未來正式假牙的外型與顏色。



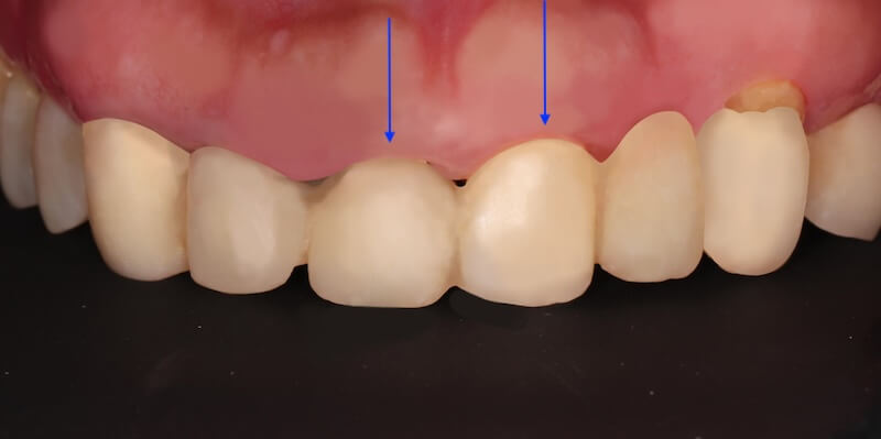
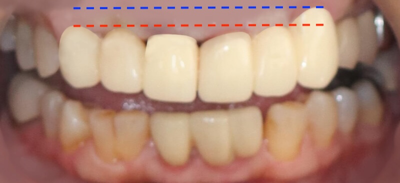
經過第二組臨時假牙的配戴,我的建議會是有兩處牙周相關的問題可以做改正:
- 原本兩顆正中門牙的長度並不一致,我們可以利用水雷射進行牙冠增長術。以不開刀的方式雕塑牙齦和內部的齒槽骨,也不需要縫合。讓兩顆正中門牙盡量達到視覺上長度一致。

- 左上的犬齒會建議患者接受牙周再生合併牙根覆蓋手術。目標是增加齒槽骨和牙周組織,改善牙周的預後,同時讓它看起來不這麼長,牙齦曲線更美觀。不過因為平常若不特別翻開嘴唇,其實是看不見的,因此 Ms.H 並不在意這個部分。她接受了顯微牙周再生手術,在顯微鏡下置放骨粉和再生材料。採取精細手術的方式,術後 Ms.H 不覺得有明顯腫痛的現象。


治療成果分享:重獲健康的牙齦與自然美齒
手術完成後的兩三個月左右,製作正式的假牙。最終的假牙我們設計成兩組正中門牙和犬齒相連的牙橋,和原來六顆連在ㄧ起的設計相比,清潔會相對容易很多。Ms.H 對治療前後的明顯感受是:牙齦牙周的問題獲得滿意的解決以外,新的假牙的美觀度也有大幅的改善,花時間好好投資在自己身上,非常值得。未來規律定期回診好好的維護,相信能夠常保健康穩定的治療成果。

