Tags: 全口牙周病治療

高血壓患者牙周病治療推薦:顯微水雷射牙周治療/DSD數位微笑設計

高血壓患者牙周病治療推薦:顯微水雷射牙周治療/DSD數位微笑設計

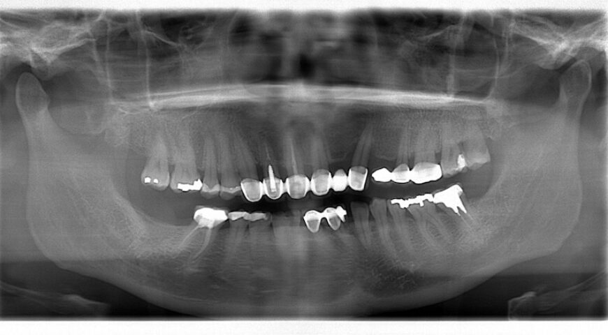
牙齦腫大出血也是高血壓藥物的副作用之一,專業牙周專科醫師會將藥物副作用考量在內制定完善牙周治療計劃。本案例分享葉立維醫師如何協助高血壓患者 Ms. H 解決他院無法改善的牙齦腫大問題,並透過完整牙周病療程與DSD數位微笑設計,讓 Ms.H 恢復自信笑容。

牙周病治療要多久?介紹一日全口水雷射牙周病治療與成功案例

牙周病治療要多久?介紹一日全口水雷射牙周病治療與成功案例

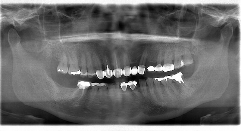
傳統牙周病治療需多次回診,敏感不適也易使患者中途放棄治療。當代牙醫的『一日全口水雷射牙周治療』可減少這些困擾,並於治療後線上關懷,適合疫情時代忙碌或居住各地/國外的患者。葉立維醫師也透過實際案例,帶大家了解牙周病專科醫師採水雷射循序漸進治療牙周病,與患者一起積極保留牙齒的過程。

Enter your keyword